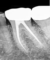
Endodoncia

La endodoncia, también conocida como tratamiento de conductos, es el procedimiento que utilizan los odontólogos para eliminar -en parte o en su totalidad- la pulpa del diente y sellar el conducto pulpar. La pulpa es la parte más interior del diente y está constituida por un tejido blando que contiene los nervios y los vasos sanguíneos. La parte del conducto que se encuentra en el interior de la corona se denomina cavidad pulpar, mientras la correspondiente a la raíz recibe el nombre de conducto reticular y es el que conecta con el hueso maxilar.

La causa más frecuente de la infección y consecuente inflamación y necrosis de la pulpa, y por tanto de la necesidad de realizar una endodoncia, es la existencia de caries, aunque existen otros factores que pueden generar una pulpitis o lesión de la pulpa:

  • Traumatismos.
  • La abrasión, erosión y desgaste de los dientes por el roce entre ellos.
  • La forma en que se realizan algunos tratamientos restauradores y los materiales que se utilizan en los mismos.

Contacte con nosotros: El Viso · 955 74 06 65 / San José · 955 793 435